查看: 47|回复: 0

“愁得睡不着觉!”杭州阿姨脖子上突然冒出一颗会动的“鸽子蛋”……

[复制链接]

457

主题

1

回帖

3151

积分

超级会员

积分
3151
发表于 2026-1-8 16:10:03 | 显示全部楼层 |阅读模式
“就一个小针眼,没留半点疤,困扰我大半年的脖子鼓包居然就这么没了!”看着镜子里平整的脖颈,五十多岁的张阿姨(化名)难掩欣喜。

谁能想到,九个月前,这个随吞咽上下晃动的“鸽子蛋”,还让她愁得睡不着觉。

脖子鼓包扰半年,半小时解烦忧

说起这枚“鸽子蛋”,其实是一个甲状腺结节,起初藏得挺深,很长时间张阿姨都没当回事。可后来,结节越长越大,不仅肉眼能清晰看见,抬手一摸就能碰到,吞咽时的晃动更是明显,让她总觉得脖子上挂着个“累赘”,像一枚能滑动的“鸽子蛋”,连穿高领衣服都觉得别扭

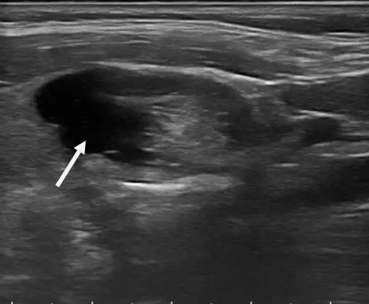
今年春天,在朋友推荐下,张阿姨找到了西湖大学医学院附属杭州市第一人民医院超声影像科副主任医师徐陈柯。超声检查很快给出结果:一枚约3.5×1.7×2.3cm的甲状腺囊实混合性结节,因为位置靠前,所以让外观有了明显变化。

695cfbb6234ff.png.webp
术前超声检查出来的甲状腺囊实混合性结节

其实在这之前,张阿姨也跑过其他医院,要么建议保守观察,要么就说要外科开刀。“一想到脖子上要留条疤,我就打退堂鼓。”张阿姨说,可看着结节一天天长大,她的焦虑也跟着升级。直到听说朋友在徐陈柯医生这里,只用了半小时就完成治疗,当天就能回家,她才重新燃起希望。

经过多模态超声评估和细针穿刺病理检查,张阿姨的结节被确诊为良性。结合她的需求,徐陈柯副主任医师决定为她实施甲状腺结节微创消融术。

695cfbb623569.png.webp
消融术中

手术比张阿姨预想的还要顺利,全程只用了半小时。术后脖子上只有一个不起眼的针眼,贴个创可贴就完事,两天后连针眼都看不出来了。更让她安心的是,脖子上的异物感很快消失,那个困扰已久的“疙瘩”,也随着时间慢慢被身体吸收。术后9个月,这枚结节完全消失,脖颈也恢复了往日的平整。

695cfbb6235d0.png.webp
(消融术后,即刻超声造影显示结节消融完全)

695cfbb623638.jpeg.webp
(消融所用的针及消融手术后即刻的针眼)

什么是微创消融术?

甲状腺结节微创消融术,如同是一次“精准的微创针灸”,只用一根细针“烫死”结节,“烫死”后的结节让自身慢慢吸收(吸收时间一般一年左右),外观无痕迹,也不伤及周围正常的甲状腺组织,似乎这个结节并没出现过。
微创消融术适用这些情况:
微创消融术的适用于大部分的良性甲状腺结节,具体包括几类:

??结节体积较大已经让人觉得脖子胀、不舒服,或者影响颈部美观的;

??结节虽然没明显症状,但一直在持续增大,经医生评估后认为有处理必要的;

??结节明显的焦虑,随经专科医师解释仍然无法释怀。

徐陈柯表示,比传统手术,微创消融术有自己的优势,不仅穿刺针眼极小、愈合后无疤痕,还能保护结节周围正常甲状腺组织,且通常为门诊手术或仅需住院1-2天,恢复极快几乎不影响日常活动,治疗采用局部麻醉,过程中多数人仅觉颈部胀感,无明显疼痛。关键是这项治疗技术成熟、规范,安全性完全可控。

但徐陈柯也提醒患者,做这项治疗前,一定要先做穿刺活检,只有通过活检证明结节是良性的,才能进行消融治疗。如果检查确诊是恶性结节(甲状腺癌),通常传统还是首选外科手术。

最后需要特别强调的是,微创消融术后,随访十分重要。大多数结节在术后一年内逐渐吸收、变小甚至消失,为了安心观察结节的变化明确手术效果,需要定期超声复查,建议在术后1个月、术后3个月、术后6个月、术后1年各进行一次复查。


来源

杭州市第一人民医院
免责声明:本文由网友发表或转载,不代表自贡论坛观点和立场,不对其真实合法性负责.如有异议或侵权,请与本网站联系删除!
回复

使用道具 举报

您需要登录后才可以回帖 登录 | 立即注册

本版积分规则

全站链接: 工程造价

QQ|手机版|小黑屋|自贡论坛 ( 蜀ICP备12031032号-2 )|网站地图川公网安备 51030002000002号

GMT+8, 2026-4-13 13:07 , Processed in 0.086745 second(s), 12 queries , Redis On.

Powered by Discuz! X3.5

© 2016-2021 Comsenz Inc.

快速回复 返回顶部 返回列表